矯正後のホワイトスポットを防ぐ!原因と効果的な予防法を歯科医が解説
- 2026年3月18日
- Icon
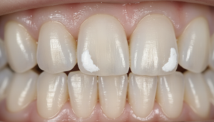
矯正治療後に現れる白い斑点の正体
歯列矯正を終えて装置を外した瞬間、鏡を見て「やっときれいな歯並びになった」と安心したのに、歯の表面に白い斑点が残っていた――。
そんな経験をされた方は少なくありません。
この白い斑点は「ホワイトスポット」と呼ばれ、固定式の矯正装置を使用した方では一定割合で認められることが報告されています。研究によって発生率には幅がありますが、矯正治療中に起こりやすいトラブルのひとつです。
ホワイトスポットは、歯の表面が単に白くなっているのではありません。
エナメル質からカルシウムやリンといったミネラルが溶け出した「初期の脱灰状態」であり、いわば初期虫歯のサインです。
放置すると、やがて実際の虫歯へ進行する可能性もあります。特に前歯にできると目立ちやすく、せっかく整えた歯並びの印象を損ねてしまいます。
ホワイトスポットはなぜ白く見えるのか
健康なエナメル質は半透明で、内部構造が均一なため光を自然に透過します。
しかし脱灰が起こると、エナメル質内部に微細な空隙ができ、光の屈折率が変わります。その結果、光が乱反射し、白く濁って見えるのです。
つまり、ホワイトスポットは
「色が変わった」のではなく、「内部構造が変化した結果として白く見えている」状態なのです。

ホワイトスポットが発生する主な原因
矯正装置周辺のプラーク蓄積
ホワイトスポットができる最大の原因は、矯正装置周囲の清掃不良です。
固定式矯正では、歯の表面にブラケットを接着しワイヤーを通します。この構造はどうしても歯ブラシが届きにくく、プラークが溜まりやすくなります。
プラーク中の細菌は糖を分解して酸を産生します。その酸によってエナメル質が溶け出し、脱灰が起こります。この状態が継続すると、ホワイトスポットが形成されます。
特に上顎前歯のブラケット周囲は目立ちやすい部位です。
矯正装置撤去時の影響
ブラケットを外す際、接着材を除去する過程でエナメル質表面に微細な変化が生じることがあります。
現在は材料や手技が進歩しているため大きな問題は少なくなっていますが、撤去部位が白く見えるケースもあります。
フルオローシスとの鑑別
矯正とは別に、歯の形成期にフッ素摂取量が多かった場合に白斑が現れることがあります(斑状歯)。
矯正由来の脱灰と生まれつきの白斑は見た目が似ていることもあるため、専門的な診断が重要です。
エナメル質形成不全
成長期の発熱や外傷などが影響し、エナメル質形成が局所的に不均一になることがあります。
これは虫歯ではなく発育的な問題であり、矯正とは直接関係ありません。

矯正中の予防が最も重要
装置周囲の丁寧なブラッシング
矯正治療中のホワイトスポット予防で最も重要なのは、徹底したプラークコントロールです。
ブラケットの上下、ワイヤーの下、歯と歯の間など、細かい部分まで意識して磨く必要があります。
タフトブラシや歯間ブラシ、フロスの併用も有効です。歯科医院でのブラッシング指導を定期的に受けることをおすすめします。
フッ素を活用した歯質強化
フッ素は脱灰を抑制し、再石灰化を促す働きがあります。
矯正中は脱灰リスクが高まるため、年齢やリスクに応じてフッ素配合歯磨剤を活用することが有効とされています。
使用濃度については歯科医師の指示に従いましょう。
MIペーストによる再石灰化サポート
MIペーストはカルシウムとリンを補給し、初期脱灰の再石灰化を促します。
フッ素と併用することで相乗的な効果が期待できます。
マウスピース矯正という選択肢
ホワイトスポットのリスクを抑える方法として、マウスピース矯正も選択肢の一つです。
取り外しが可能なため清掃がしやすく、プラークが停滞しにくいという利点があります。
ただし、間食や清掃不足が続けばリスクがゼロになるわけではありません。どの矯正方法でも日々のケアは重要です。

すでにできてしまったホワイトスポットの治療
Icon(アイコン)治療
Iconは、歯を削らずに特殊な樹脂を浸透させ、光の屈折を均一にすることで白濁を目立ちにくくする治療法です。
歯質を温存できる点が大きなメリットです。
ホワイトニングとの併用
ホワイトニングを行う場合は、
「ホワイトニング → Icon」
の順番が基本です。
全体の色を整えてから局所を調整することで、自然な仕上がりが期待できます。
その他の治療法
症状が広範囲な場合には、レジン修復やラミネートベニアといった方法が選択されることもあります。
まずは削らない治療が第一選択となります。

日常生活でできるセルフケア
食生活の見直し
糖分を頻繁に摂取すると脱灰時間が延長します。
間食の回数を減らし、食後はできるだけ早めに歯磨きを行いましょう。
唾液環境を整える
唾液は酸を中和し、再石灰化を促します。
よく噛むこと、水分補給、口呼吸の改善も予防につながります。
定期的な歯科管理
専門的なクリーニングやセルフケアのチェックを受けることで、ホワイトスポットのリスクを下げることが期待できます。
まとめ
矯正後のホワイトスポットは、矯正治療中のプラークコントロールの差によって大きく左右されます。
適切な清掃、フッ素の活用、再石灰化ケア、定期的なチェックを行うことで、リスクを抑えることが可能です。
すでにホワイトスポットができてしまった場合でも、削らない治療法があります。
当院では、矯正治療から予防歯科、ホワイトスポットへの対応まで総合的にサポートしております。気になる症状がある方は、お気軽にご相談ください。
詳細はこちら:上永谷デンタルクリニック
参考文献・引用元
Incidence of White Spot Lesion During Fixed Orthodontic Treatment(Turkish Journal of Orthodontics, PDF)
https://www.turkjorthod.org/pdf/26a6643d-3380-4766-8ed8-4703e5d7d038/articles/j.tjo.2013.26.02_98/Turk%20J%20Orthod-26-98-En.pdf
The incidence of caries and white spot lesions in orthodontically treated adolescents with a comprehensive caries prophylactic regimen(PubMed)
https://pubmed.ncbi.nlm.nih.gov/21750245/
Preventing dental caries in patients with fixed orthodontic appliances: A systematic review(Cochrane Review)
https://www.cochranelibrary.com/cdsr/doi/10.1002/14651858.CD003809.pub4/full
White spot lesions in orthodontic patients: a systematic review(PDF)
https://pmc.ncbi.nlm.nih.gov/articles/PMC11046017/pdf/BDJOpen202420.pdf
Resin infiltration techniques (ICON) in dentistry: a narrative review(PMC)
https://pmc.ncbi.nlm.nih.gov/articles/PMC11276831/
Comparison of White Spot Lesions among Clear Aligners, Conventional Fixed Appliances, and Self-ligating Fixed Appliances(University of Connecticut, PDF)
https://digitalcommons.lib.uconn.edu/cgi/viewcontent.cgi?article=2218&context=gs_theses

上永谷デンタルクリニック院長 平野信実
経歴
2012年4月
神奈川の大手法人の歯科医院で勤務、分院長など歴任
資格・所属学会
- 日本口腔インプラント学会会員
- 京都インプラント研究会会員
- JSOI専修医
